Neurology, Neuroscience and Brain Health
A new approach to neurological care
-
Meeting the Needs of Tomorrow
USC’s 100 health science degree programs train tomorrow’s physicians, nurses, pharmacists, biomedical engineers, psychologists and public health professionals. With more than 4,000 health science degrees awarded each year, we’re addressing South Carolina’s growing neurological care needs now.
HEALTH SCIENCES -

-

-

-

-

First renderings of USC's Brain Health Center unveiled
Forthcoming center will serve as the hub of the Brain Health Network
-

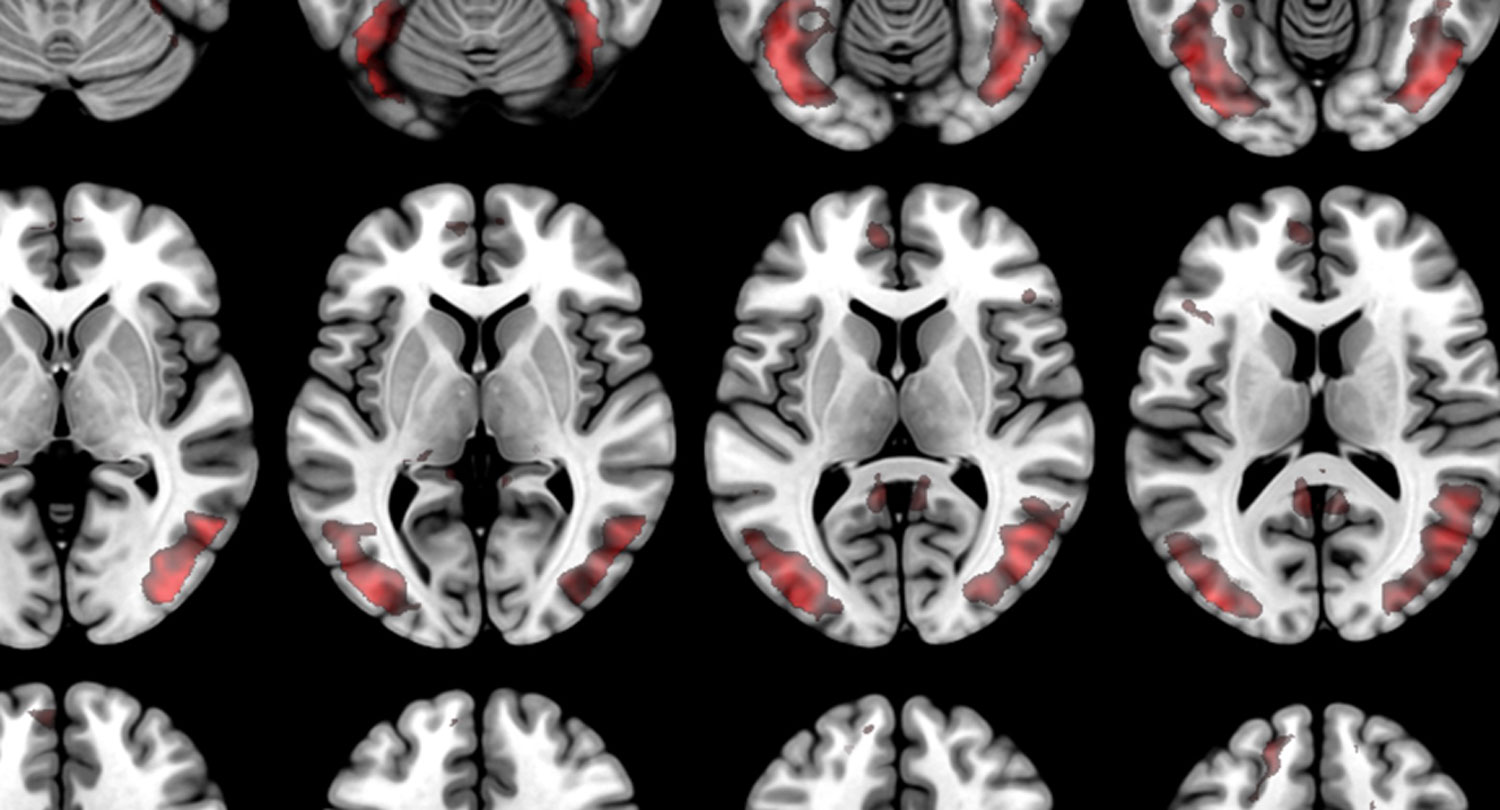
A Sharper Image
The McCausland Imaging Center boasts an MRI twice the strength of typical MRIsr
-

Improving the odds
USC clinicians bring new tactics to challenge of stroke, neurological disorders in SC
-

Keeping Tabs
Registry allows state to track Alzheimer’s and dementia cases.



