Health Sciences
The University of South Carolina system is the state’s most comprehensive health care research and education entity. We are elevating life and health for all South Carolinians.
Every day at South Carolina, students, faculty and researchers tackle health care’s most persistent issues with a watchful eye on what’s ahead. We’re working for a healthier state through the clinical education of next-generation medical professionals and in studies spanning dozens of health care-related research centers and institutes.
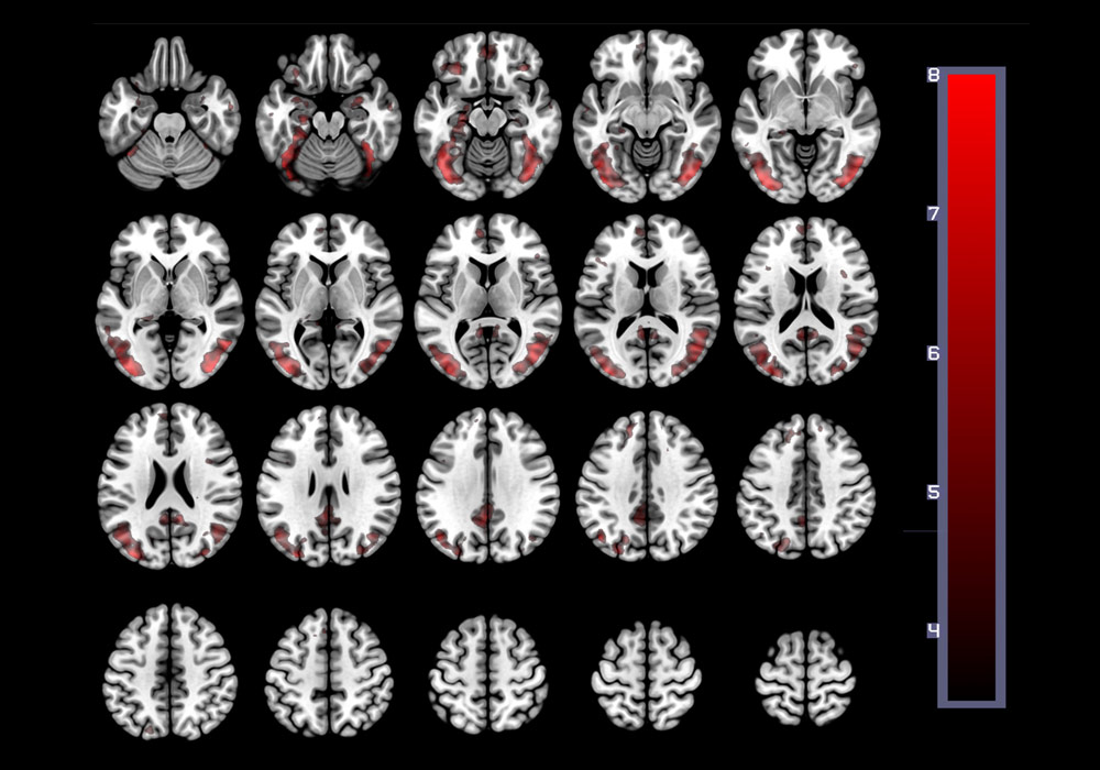
South Carolina awards more than 4,000 health care-related degrees annually to future clinicians, technicians, researchers and educators who believe in the transformative power of medicine. A state-of-the-art, 16-acre health sciences campus under development in Columbia promises cutting-edge diagnostics and treatment, with an emphasis on Alzheimer’s, stroke and other neurological conditions.







