Skip to Content

School of Medicine Columbia

Recent Publications

Our faculty and students are constantly being published. We keep this page updated with a list of many of our people's latest scholarly works and published pieces.

Faculty Publications

Hypertension Drives Protein Lactylation and Vascular Dysfunction in Skeletal Muscle.
Fontes MT, Townsend P, Butler L, Parente JM, Araujo FA, Costa TJ, Bomfim GF, Pernomian L, Tan W, VanderVeen BN, Murphy EA, Stark RJ, Butcher JT, McCarthy CG, Wenceslau CF. Hypertension. IMPACT FACTOR: 8.2 2026 Apr 22:10.1161/HYPERTENSIONAHA.125.25665. doi: 10.1161/HYPERTENSIONAHA.125.25665. 
PMID: 42017232 
Association Between Hypertensive Disorders of Pregnancy and Severe Maternal Morbidity.
Granger Howard ME, Campbell BA, Boghossian NS. Am J Obstet Gynecol. 2026 Apr 15:S0002-9378(26)00196-1. doi: 10.1016/j.ajog.2026.04.016. Online ahead of print.
PMID: 41997517  
Dental Flossing May Lower the Risk for Incident Ischemic Stroke, Cardioembolic Stroke Subtype, and Atrial Fibrillation.
Sen S, Marchesan JT, Moss K, Wood S, Barton AE, Alonso A, Soliman EZ, Magnani JW, Johansen M, Lakshminarayan K, Rosamond W, Beck J. Stroke. 2026 Apr 8. doi: 10.1161/STROKEAHA.125.054440. Online ahead of print.
PMID: 41948826  
Estrogen treatment restores perivascular adipose tissue -mediated anticontractile effect via NOX4-dependent hydrogen peroxide signaling in ovariectomized hypertensive rats.
Petroski-Moraes BC, Ramos IT, Sousa JH, de Queiroz MCT, Mendes AC, Rodrigues D, Barros PR, McCarthy CG, Eichler RAS, Akamine EH, Tostes RC, Costa TJ. J Hypertens. 2026 May 1;44(5):858-866. doi: 10.1097/HJH.0000000000004279. Epub 2026 Mar 5.
PMID: 41818332  
Psychological stress and myocardial extracellular matrix remodeling- a pathologic synergy.
Spinale FG, Weil BR, Sharma U, Wood S, Hollis F, Meléndez GC, DeLeon-Pennell KY, Bradshaw AD, Lang JK, Canty JM, Zile MR. Biochem Pharmacol. 2026 May;247:117795. doi: 10.1016/j.bcp.2026.117795. Epub 2026 Feb 10.
PMID: 41679665
Telehealth Uptake and Rural-Urban and Racial/Ethnic Disparities in Postpartum Care Access Among Medicaid Beneficiaries in South Carolina, 2018-2022.
Chatterjee A, Zhao X, Liu J, Campbell BA, Yu J, Boghossian NS, Cai B, Li X, Hung P.Med Care. 2026 Mar 4. doi: 10.1097/MLR.0000000000002298. Online ahead of print.
PMID: 41778532  
Controlling Biogenesis and Engineering of Exosomes to Inhibit Growth and Promote Death in Glioblastoma Multiforme.
Alapati S, Ray SK. Brain Sci. 2026 Jan 25;16(2):130. doi: 10.3390/brainsci16020130.
PMID: 41750131 
Infectious Diseases Society of America (IDSA) Position Statement: Why IDSA Did Not Endorse the Community-Acquired Pneumonia Guidelines 2025 Update.
Klompas M, Al-Hasan M, Al Mohajer M, Colgrove R, Doron S, File T, Pettit N, Pulia M, Weissman S. Am J Respir Crit Care Med. 2026 Feb 21:aamag065. doi: 10.1093/ajrccm/aamag065. Online ahead of print.
PMID: 41738241 
Psychological stress and myocardial extracellular matrix remodeling- a pathologic synergy.
Spinale FG, Weil BR, Sharma U, Wood S, Hollis F, Meléndez GC, DeLeon-Pennell KY, Bradshaw AD, Lang JK, Canty JM, Zile MR. Biochem Pharmacol. 2026 Feb 10:117795. doi: 10.1016/j.bcp.2026.117795. Online ahead of print. 
PMID: 41679665
Current perspectives in peripartum cardiomyopathy.
Goldsmith JG, Goldsmith EC. Reproduction. 2026 Feb 5;171(2):xaag009. doi: 10.1093/reprod/xaag009.
PMID: 41575300
VERU-111 Promotes an Anti-Tumor Response Through Restoration of Gut Microbial Homeostasis and Associated Metabolic Dysregulation.
Mamun MAA, Rakib A, Mandal M, Li W, Miller DD, Chen H, Nagarkatti M, Nagarkatti P, Singh UP. Cells. IMPACT FACTOR: 5.2 2026 Jan 13;15(2):141. doi: 10.3390/cells15020141.
PMID: 41597216  
Tidal Breathing Nasal Nitric Oxide Measurement as a Test for Primary Ciliary Dyskinesia in Young Children.
Leigh MW, Shapiro AJ, Chawla KK, Hazucha MJ, Brown DE, Lin FC, Jiang L, Carson JL, Davis SD, Dell SD, Sagel SD, Rosenfeld M, Milla C, Sullivan KM, Zariwala MA, Ferkol TW, Knowles MR; Genetic Disorders of Mucociliary Clearance Consortium. Eur Respir J. 2026 Jan 29:2501540. doi: 10.1183/13993003.01540-2025. Online ahead of print.
PMID: 41611251 
Host-derived interleukin-1α drives tumor immunosuppression by reprogramming tumor-associated myeloid cells.
Keerthi Raja MR, Gupta G, Atkinson G, Kathrein K, Armstrong A, Gower RM, Roninson IB, Broude EV, Chen M, Ji H, Lim CU, Wang H, Fan D, Xu P, Li J, Zhou G, Chen H. NPJ Breast Cancer. 2026 Jan 17. doi: 10.1038/s41523-026-00890-8. Online ahead of print.
PMID: 41547846
Estradiol Signaling in the Medial Preoptic Nucleus (MnPO): A Lifespan Framework for Female Sleep Regulation.
Pocivavsek A, Fadel JR. Sleep. 2026 Jan 13:zsag005. doi: 10.1093/sleep/zsag005. Online ahead of print.
PMID: 41528103
Cortical hierarchy and aphasia severity: the sensorimotor-association gradient modulates lesion effects within language-specific networks.
Rangus I, Busby N, Riccardi N, Kristinsson S, Wilmskoetter J, den Ouden DB, Rorden C, Newman-Norlund R, Fridriksson J, Bonilha L.
Commun Biol. 2026 Jan 8. doi: 10.1038/s42003-025-09375-z. Online ahead of print.
PMID: 41507325
Potent Racemic Antimicrobial Polypeptides Uncovered by a Stereochemical Series of Cationic d/l Backbones.
Barman S, Abiodun A, Parris A, Yang X, Hossain MW, Nagarkatti P, Nagarkatti M, Decho AW, Tang C. J Am Chem Soc. 2025 Dec 31. doi: 10.1021/jacs.5c19741. Online ahead of print.
PMID: 41472529
Mapping the mortality-to-incidence ratios of Alzheimer's Disease and Related Dementias (ADRDs): Evidence from the South Carolina Alzheimer's disease registry.
Mishio Bawa E, Amoatika DA, Miller MC, Olatosi BA, Donelle L, Levkoff SE, Hardin JW, Li X, Bonilha L, Friedman DB, Adams SA. PLoS One. 2025 Dec 29;20(12):e0339785. doi: 10.1371/journal.pone.0339785. eCollection 2025. 
PMID: 41460835
White matter signals reflect information transmission between brain regions during seizures.
Revell AY, Jaskir M, Lucas A, Silva AB, Mahesh D, Armstrong L, Arnold TC, Bernabei JM, Gleichgerrcht E, Bonilha L, Stein JM, Das SR, Shinohara RT, Bassett DS, Litt B, Davis KA. Brain. 2025 Dec 4:awaf444. doi: 10.1093/brain/awaf444. Online ahead of print. 
PMID: 41340548 
A novel bioactive peptide-peptoid hybrid of alpha-calcitonin gene-related peptide protects against pressure-overload induced heart failure.
Kumar A, Deloach S, Williams L, DiPette DJ, Potts JD. Front Pharmacol. 2025 Nov 10;16:1692472. doi: 10.3389/fphar.2025.1692472. eCollection 2025. 
PMID: 41293249
Neighborhood socioeconomic status and overall survival among children with acute lymphoblastic leukemia.
Hoppmann AL, Hurley DM, Cramer S, Brown MJ, Ghosal R, Alberg AJ, Bhatia S. Blood Adv. 2025 Nov 25;9(22):5861-5869. doi: 10.1182/bloodadvances.2025017044.
PMID: 40845260
Polo-like Kinase 1 Activation Regulates Angiotensin II-Induced Contraction in Pudendal and Small Mesenteric Arteries from Mice.
Moraes RA, Arishe OO, Pratt J, Wilczynski S, Dos Passos RR, Silva-Velasco DL, Gonçalves TT, Zhang T, Silva DF, Webb RC, Priviero F. Cells. 2025 Nov 6;14(21):1741. doi: 10.3390/cells14211741. PMID: 41227386
Gene expression-based lesion-symptom mapping: FOXP2 and language impairments after stroke.
Wilmskoetter J, Kristinsson S, Rangus I, Busby N, Rorden C, den Ouden D, Newman-Norlund R, Banister C, Riccardi N, Teghipco A, Newman-Norlund S, Fridriksson J, Bonilha L. J Neurosci. 2025 Nov 7:e0413252025. doi: 10.1523/JNEUROSCI.0413-25.2025. Online ahead of print. PMID: 41203433
Discovery and Biosynthetic Interrogation of a Cobalt-Containing Terpene-Polyketide-Nonribosomal Peptide Tribrid with Anticoronavirus Activity.
Xue D, Wu Q, Hou L, Pulliam C, Xu M, Madden MD, Madu J, Li Y, Liu S, Fan D, Bugni TS, Wang T, Li J.  J Am Chem Soc. 2025 Oct 13. doi: 10.1021/jacs.5c16450. Online ahead of print. PMID: 41078158
Sex-dependent modulation of acute respiratory distress syndrome by Bacteroides acidifaciens: gut microbiome impact on lung inflammation.
Staley S, Walkup V, Oxendine S, Mauya Z, Williams J, Busbee PB, Wilson K.
Front Immunol. 2025 Sep 22;16:1653309. doi: 10.3389/fimmu.2025.1653309. eCollection 2025. PMID: 41058698
Single-Short Partial Reprogramming of the Endothelial Cells Decreases Blood Pressure via Attenuation of EndMT in Hypertensive Mice.
Pernomian L, Waigi EW, Nguyen V, Mohammed AD, Costa TJ, Fontes MT, Kubinak JL, Aitken AV, Biancardi VC, Gleason K, Shazly T, Sinclair DA, McCarthy CG, Wang Y, Tan W, Wenceslau CF. Circ Res. 2025 Sep 3. doi: 10.1161/CIRCRESAHA.124.324909. Online ahead of print. PMID: 40899274
Perspective: Food Environment, Climate Change, Inflammation, Diet, and Health.
Hébert JR, Holmberg R, Boncyk M, Scott G, Murphy EA, Hofseth LJ.
Adv Nutr. 2025 Sep 4:100504. doi: 10.1016/j.advnut.2025.100504. Online ahead of print. PMID: 40914209
Read More Faculty Publications in PubMed

 

Student Publications

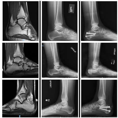
Radiation Exposure in Percutaneous Zadek Osteotomy vs Open Haglund Resection: A Retrospective Comparative Study.
Foot Ankle Orthop. 2026 Mar 10;11(1):24730114261425951. doi: 10.1177/24730114261425951 Preston Harrison, Sarah Hall Kiriluk, John O’Keefe, Harrison Lapin, Moawiah Mustafa, Shawn Guirau, Kevin Lee 4, Oliver N Schipper, J Benjamin Jackson III, Tyler A Gonzalez
PMCID: PMC12979876  PMID: 41836139
The Structure, Pathogenesis, and Inhibition of the p53-MDM2 Pathway. Brown AL, Lian X, Wang Q. Cancers. 2026; 18(4):546. https://doi.org/10.3390/cancers18040546
Exosomes as Specific Vehicles for Delivery of Combination Therapies for Inhibiting Autophagy and Inducing Apoptosis in MYCN-Amplified Neuroblastoma Displaying Gut Dysbiosis: Current Challenges and Future Opportunities. 
Leigh K, Ray SK. Brain Sciences. 2026; 16(2):125. https://doi.org/10.3390/brainsci16020125 
Controlling Biogenesis and Engineering of Exosomes to Inhibit Growth and Promote Death in Glioblastoma Multiforme. Alapati S, Ray SK.  Brain Sciences. 2026; 16(2):130. https://doi.org/10.3390/brainsci16020130
Social stress cue exposure heightens opioid preference and locus coeruleus neuroimmune activity in female rats.
Smiley CE, Childress TE, Bielicki BH, Wood SK. J Pharmacol Exp Ther. 2026 Jan;393(1):103784. doi: 10.1016/j.jpet.2025.103784. Epub 2025 Nov 27.
PMID: 41406908 
Vascular Organoids Derived from Capillary malformation-induced Pluripotent Stem Cells Exhibit Disease-Relevant Phenotypes.
Nguyen V, Harper A, Azuero M, Castellanos I, He S, Hochman ML, Wenceslau CF, Chen DB, Jegga AG, Wang Y, Fan D, Nelson JS, Tan W. Stem Cell Rev Rep. 2026 Jan;22(1):668-675. doi: 10.1007/s12015-025-10984-8. Epub 2025 Sep 25.
PMID: 40996655 
Comparing patient reported outcomes and complications following open versus minimally invasive double and triple arthrodesis for rigid flatfoot deformity: A retrospective analysis.
Fiore PI, Kiriluk SH, Harrison P, Schacht L, Montagna A, Gonzalez TA, Vulcano E. Foot Ankle Surg. 2025 Dec 24:S1268-7731(25)00292-9. doi: 10.1016/j.fas.2025.12.006. Online ahead of print.
PMID: 41469320 
Determinants of post-stroke cognitive impairment in patients with periodontal disease.
Pikel K, Logue L, Verkuilen H, Wood S, Fritts A, Mintzer J, Bonilha L, Sethi P, Beckwith A, Huang D, Sen S. J Stroke Cerebrovasc Dis. 2025 Jul;34(7):108327. doi: 10.1016/j.jstrokecerebrovasdis.2025.108327. Epub 2025 Apr 22. PMID: 40273963
The Toll-like Receptor-2/4 Antagonist, Sparstolonin B, and Inflammatory Diseases: A Literature Mining and Network Analysis.
Yang R, Liu Q, Wang D, Zhao Z, Su Z, Fan D, Liu Q. Cardiovasc Drugs Ther. 2025 Jun;39(3):499-515. doi: 10.1007/s10557-023-07535-z. Epub 2024 Jan 25. PMID: 38270691
The functional role of locus coeruleus microglia in the female stress response.
Smiley CE, Pate BS, Bouknight SJ, Harrington EN, Jasnow AM, Wood SK. Mol Psychiatry. 2025 Apr 5. doi: 10.1038/s41380-025-02971-9. Online ahead of print. PMID: 40188312
Parental kynurenine 3-monooxygenase genotype in mice directs sex-specific behavioral outcomes in offspring.
Milosavljevic S, Piroli MV, Sandago EJ, Piroli GG, Smith HH, Beggiato S, Frizzell N, Pocivavsek A. Biol Sex Differ. 2025 Apr 2;16(1):22. doi: 10.1186/s13293-025-00703-w. PMID: 40176166
Age-related synaptic signatures of brain and cognitive reserve in the rat hippocampus and parahippocampal regions.
Horovitz DJ, Askins LA, Regnier GM, McQuail JA. Neurobiol Aging. 2025 Apr;148:80-97. doi: 10.1016/j.neurobiolaging.2025.01.010. Epub 2025 Feb 7. PMID: 39954409
Read More Student Publications in PubMed

Challenge the conventional. Create the exceptional. No Limits.

©